Архив за етитет: революция в стоматологията

РЕВОЛЮЦИЯ В СТОМАТОЛОГИЯТА

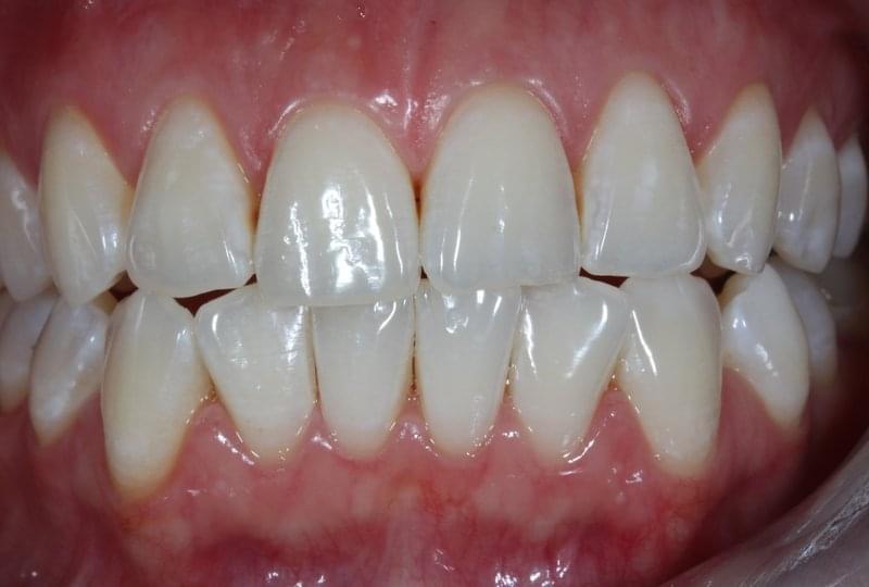
Революционен пробив в стоматологията може да промени начина, по който се грижим за зъбите си. Учени успешно отгледаха истински човешки зъби в лаборатория, което потенциално намали или дори елиминира нуждата от традиционни пломби, коронки и импланти в бъдеще. Това откритие отваря вратата към естествени, напълно функционални зъбни заместители.

Продължете да четете РЕВОЛЮЦИЯ В СТОМАТОЛОГИЯТА